“医生,
我不就是鼻炎,
怎么就变成癌了?”
这句话,
福建省肿瘤医院头颈放疗科
主任医师宗井凤
在门诊听过无数次,
每一次都满心惋惜。
近日,她接诊了一位鼻窦癌患者——单侧鼻塞、涕中带血一年多,一直当鼻炎吃药调理,直到面部麻木、眼球突出,才慌着来就诊,可肿瘤已广泛侵犯,已是局部晚期。
这样的悲剧,并非个例。鼻窦癌因位置隐蔽,早期症状和普通鼻炎、鼻窦炎几乎一模一样,导致近七成患者确诊时,病情已发展到中晚期。

网络图
误把癌症当鼻炎
幸好中晚期也有治疗方法
宗井凤提醒,这正是鼻窦癌最“狡猾”的地方——它擅长伪装成“小鼻炎”,但只要细心观察,就能发现区别:单侧、进行性加重的鼻塞,反复涕中带血,面部麻木或疼痛,这些都不是普通鼻炎的典型表现,而是鼻窦癌的“危险警报”。

虽然绝大多数患者
就诊时已经是中晚期,
但幸运儿也不少。
78岁的田阿姨(化名)也曾被这个“隐匿杀手”盯上,却幸运“逃脱”。
五年前,田阿姨因右侧鼻腔反复出血、面部疼痛,辗转来到福建省肿瘤医院就诊,最终被确诊为右鼻窦中分化鳞癌。
追溯病史才发现,早在数月前,田阿姨就出现了单侧鼻塞、鼻涕里偶尔带血丝的症状。可当时正值秋冬季节,她和家人都以为是“老鼻炎”犯了,觉得忍一忍、用点药就会好,压根没放在心上。
等到症状越来越重,面部疼痛难忍,再去检查时,肿瘤已经侵犯到右眼眶壁和额叶脑膜,被确诊为IVa期(T4bN0M0),当地医院直接告知:已失去手术机会。
家人没有放弃,带着田阿姨找到了福建省肿瘤医院潘建基教授、宗井凤教授团队。考虑到田阿姨已经78岁,体质较弱,无法耐受手术和高强度化疗,团队紧急启动了多学科会诊(MDT),为她量身定制治疗方案。
最终,团队决定采用“改良分割放疗”,搭配高精度调强放疗技术(IMRT)。这种技术就像“精确制导”的导弹,既能给肿瘤细胞致命打击,精准给予根治剂量,又能巧妙避开眼球、视神经、脑组织等重要器官,最大程度保护田阿姨的视力。


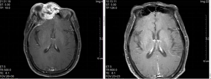
▲田阿姨接受治疗前、后的医学影像
治疗期间,田阿姨的症状逐渐缓解,3个月后复查,肿瘤已完全消退。如今五年过去,田阿姨不仅达到了临床治愈,还完好保住了双眼,日常生活和普通人一样,安享晚年。
这3点,帮你避开“癌症陷阱”
潘建基教授、宗井凤教授强调,鼻窦癌的成功治疗,不仅在于先进的放疗技术,更在于早发现、早诊断。
记住这3点,别让“小毛病”拖成“大麻烦”:
●警惕“单侧”症状:普通鼻炎、鼻窦炎多是双侧或交替性发作。如果出现单侧鼻塞、单侧涕中带血、单侧面部麻木疼痛,或是嗅觉减退,且持续不愈,一定要及时就医,别硬扛。
●选对检查方式:鼻内镜和CT、磁共振等影像学检查,是早期发现鼻窦癌的关键。如果检查发现可疑病变,病理活检是确诊的“金标准”,别嫌麻烦而拒绝检查。
●晚期≠末期:随着放疗技术、靶向治疗、免疫治疗的不断发展,通过科学规范的个体化综合治疗,很多晚期患者依然能实现长期生存,甚至回归正常生活。
福建卫生报全媒体记者:刘伟芳







